Medial Patellofemoral Ligament Reconstruction

Medial Patellofemoral Ligament Reconstruction

A surgical procedure to help stabilise the kneecap following recurrent patella dislocations

The medial patellofemoral ligament (MPFL) is one of the key soft tissue stabilisers that helps keep the kneecap (patella) aligned as your knee bends and straightens. When this ligament becomes stretched or torn, often due to trauma or recurrent patellar dislocations, the kneecap can become unstable, leading to pain, a feeling of giving way, and further dislocations.

MPFL reconstruction is a procedure that aims to restore stability to the patella by reconstructing the damaged ligament, usually with a graft from the patient’s own tissue. This may help reduce the risk of future dislocations, relieve discomfort, and improve knee function, particularly in young or active individuals.

Throughout this page, you’ll find detailed information on when MPFL reconstruction may be recommended, how the procedure is performed, recovery expectations, and answers to common patient questions.

What is the medial patellofemoral ligament (MPFL)?

The medial patellofemoral ligament (MPFL) is a key stabilising structure in your knee. It connects the inner edge of the patella (kneecap) to the femur (thigh bone) and plays a vital role in keeping the patella in place, especially during the first 20–30 degrees of knee bending.

 

The MPFL acts as a restraint against lateral (outward) movement of the patella. When functioning properly, it prevents the kneecap from slipping out of place, particularly during twisting or pivoting movements. It is especially important in younger patients or athletes, where kneecap stability is essential for active motion.

 

The MPFL is frequently torn or stretched during a patellar dislocation, which typically happens when the kneecap is forced outwards, often during sports or a traumatic event. Once damaged, the ligament may not heal properly on its own, leading to a higher risk of future dislocations or ongoing knee instability.

When MPFL reconstruction might be recommended

Medial patellofemoral ligament (MPFL) reconstruction may be recommended when non-surgical treatments have not adequately restored kneecap stability, or if the MPFL has been torn in a way that will not heal properly on its own.

Common reasons for surgery

Dr George Awwad may recommend MPFL reconstruction in the following situations:

Additional considerations

Dr Awwad will assess your knee anatomy and any other contributing factors, such as:

In some cases, MPFL reconstruction may be combined with other procedures, such as a tibial tubercle osteotomy (TTO), to better correct the alignment of the kneecap and reduce the risk of future dislocations.

How MPFL injuries are diagnosed

Diagnosing an injury to the medial patellofemoral ligament (MPFL) involves a combination of your medical history, a physical examination, and imaging tests. Accurate diagnosis helps determine the extent of damage and whether surgical reconstruction may be appropriate.

Clinical assessment

Dr George Awwad will begin by taking a detailed history of your symptoms and past injuries. Important points may include:
He will also conduct a hands-on physical examination of your knee, including:
These clinical tests help evaluate ligament laxity, instability, and other potential contributing factors.

Imaging studies

Imaging is used to confirm the diagnosis, assess soft tissue damage, and evaluate the shape and alignment of your knee structures.

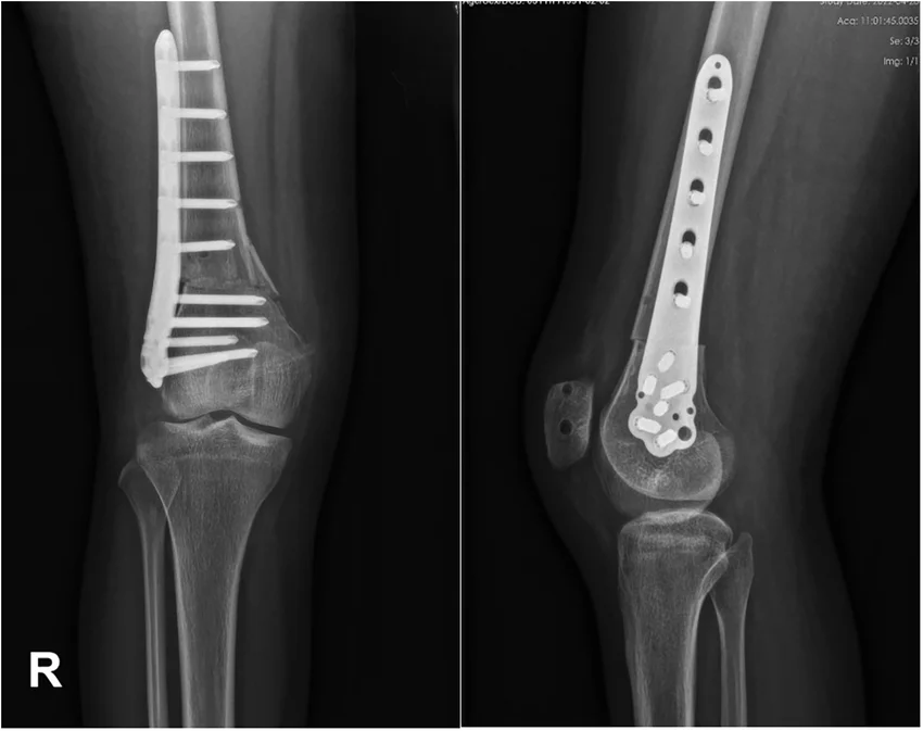
X-rays

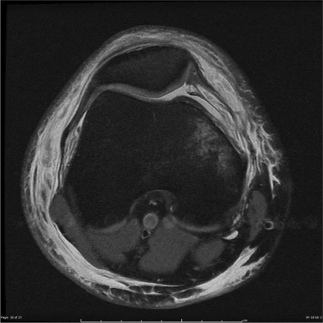
MRI (Magnetic Resonance Imaging)

CT Scan (in select cases)

Combined approach

Diagnosis is not based on a single test. Instead, it is the combination of history, clinical findings, and imaging results that leads to an accurate diagnosis and a tailored treatment plan. If MPFL reconstruction is being considered, Dr Awwad will ensure that contributing anatomical issues are also evaluated and, if needed, addressed during surgery.

Surgical technique for MPFL reconstruction

Medial Patellofemoral Ligament (MPFL) reconstruction is a procedure designed to restore stability to the kneecap (patella) when it has been weakened or torn due to dislocation or repeated subluxations. Dr George Awwad performs this surgery with precise techniques aimed at restoring patellar alignment and minimising the risk of future instability.

Graft choice and preparation

The MPFL is typically reconstructed using a tendon graft. Common graft options include:
Dr Awwad selects the most appropriate graft based on factors such as the patient’s age, activity level, anatomical features, and whether other procedures are being performed concurrently.

Surgical approach

Concurrent procedures

If there are other contributing anatomical abnormalities, such as patella alta or lateral maltracking, Dr Awwad may also consider combining MPFL reconstruction with procedures such as:

Fixation

The graft is typically fixed to the patella using small anchors or tunnels, and to the femur using an interference screw or other fixation device. The goal is a strong, stable reconstruction that mimics the native ligament’s function while preserving the patient’s natural anatomy as much as possible.

Recovery and rehabilitation after MPFL surgery

Medial Patellofemoral Ligament (MPFL) reconstruction typically involves a structured recovery and rehabilitation plan aimed at protecting the reconstructed ligament, minimising pain and swelling, and gradually restoring strength and range of motion in the knee. Dr George Awwad’s post-operative protocol is designed to support safe healing and return to activity.

Immediately after surgery

Wound care and dressings

Pain management and swelling control

Rehabilitation milestones

A supervised physiotherapy program begins as soon as possible and continues for approximately six months. Below is the general progression:

Weeks 1–2

Weeks 3–4

Weeks 5–6

Weeks 6–12

Week 12 onwards

Return to daily activities

When to seek medical attention

Contact Dr Awwad’s rooms or the hospital if you experience:

This phased approach helps ensure the graft heals properly, while progressively restoring strength and mobility to support long-term knee stability and function

Possible risks and complications of MPFL surgery

Like any orthopaedic procedure, Medial Patellofemoral Ligament (MPFL) reconstruction carries some potential risks and complications. While the surgery is commonly performed and often successful in reducing patellar instability, it is important to be aware of the possible issues that may arise.

1. Infection

As with any surgical procedure, there is a small risk of infection at the incision site or deeper within the knee. Precautions such as sterile technique, antibiotics, and wound care are used to minimise this risk. Signs of infection include increased pain, swelling, redness, warmth, or discharge from the wound.

2. Blood clots (DVT)

Deep vein thrombosis (DVT) can occasionally occur after knee surgery, especially if mobility is limited during the early recovery period. You will receive guidance on blood clot prevention, including early mobilisation, calf exercises, and in some cases, anticoagulant medication.

3. Knee stiffness or reduced range of motion

Scar tissue or post-operative inflammation can limit your ability to bend or straighten the knee fully. Early physiotherapy and range-of-motion exercises are important to help maintain flexibility and restore movement.

4. Graft-related complications

In MPFL reconstruction, a graft (often harvested from your own hamstring or quadriceps tendon) is used to reconstruct the ligament. Complications may include:

5. Recurrent instability

In some cases, the kneecap may continue to feel unstable or dislocate again, particularly if there are underlying anatomical factors such as trochlear dysplasia or rotational deformities that have not been addressed surgically.

6. Over-tightening of the graft

If the graft is too tight, it may cause excessive pressure on the inner side of the patella, leading to pain, difficulty with movement, or abnormal wear on the cartilage (patellofemoral overload). In some cases, revision surgery may be required to address this.

7. Pain at the kneecap (anterior knee pain)

This can occur after surgery due to changes in patellar tracking or irritation of soft tissues. While it usually improves with physiotherapy, some patients may experience long-term discomfort.

8. Nerve or vascular injury

Although uncommon, small sensory nerves around the knee may be affected during surgery, resulting in numbness or tingling near the incision. Major nerve or vessel injury is rare but remains a potential risk in any knee procedure.

9. Hardware-related issues

If surgical anchors or fixation screws are used to secure the graft, these may cause irritation or require removal at a later stage if they become symptomatic.

10. Post-operative complications

These may include bleeding, wound healing issues, or adverse reactions to anaesthesia. A thorough pre-operative assessment with your anaesthetist and surgeon helps reduce these risks.

Dr George Awwad will discuss these risks in detail during your consultation, considering your individual anatomy, activity level, and medical history. Your recovery will be closely monitored, and a structured rehabilitation plan will be implemented to help reduce complications and optimise your surgical outcome.

FAQs about MPFL reconstruction

What is MPFL reconstruction surgery?
MPFL reconstruction is a procedure to restore stability to the kneecap (patella) by reconstructing the medial patellofemoral ligament, which helps prevent the patella from dislocating laterally. This surgery is commonly recommended for individuals who have experienced recurrent patella dislocations or have structural issues affecting knee stability.
MPFL reconstruction may be considered if you have repeated patella dislocations, instability during movement, or pain at the front of your knee that has not improved with physiotherapy. Dr George Awwad will assess your symptoms, physical exam findings, and imaging (MRI or X-rays) to determine if surgery is appropriate.
Recovery varies, but most patients return to regular daily activities within 3–4 months, with full return to sport often taking 5–7 months. A structured rehabilitation program, guided by your physiotherapist and overseen by Dr Awwad, is essential for optimal outcomes.
While MPFL reconstruction is typically performed as a day or overnight procedure and uses small incisions, it is still considered significant surgery involving ligament reconstruction. Careful preparation, anaesthesia, and a formal post-operative rehabilitation plan are required.
Yes. Crutches are typically used for the first 1–2 weeks, and a knee brace is worn for 6 weeks to protect the ligament as it heals. Your weight-bearing and range of motion will be gradually increased based on your progress and Dr Awwad’s advice.
Yes. MPFL reconstruction may be performed alongside other procedures such as tibial tubercle osteotomy (TTO), lateral release, or cartilage restoration, depending on your knee anatomy and severity of instability.
Potential risks include stiffness, pain, blood clots, infection, or graft failure. Dr Awwad will discuss these risks with you during your consultation, and strategies will be implemented to reduce the likelihood of complications.
When performed for appropriate indications and followed by a tailored rehabilitation program, MPFL reconstruction has a high success rate in reducing or preventing further patella dislocations and improving knee stability.
You can usually return to driving once you can walk without crutches and safely perform an emergency stop. This is typically around 2-4 weeks post-operatively for the left knee (in automatic vehicles) and slightly longer for the right knee.
First-time dislocations or mild MPFL injuries may be managed with physiotherapy and activity modification. Surgery is generally considered if conservative measures are unsuccessful or if there is significant anatomical misalignment.
If you’re living with pain or stiffness that’s affecting your quality of life, a thorough assessment can help determine the cause and guide the right treatment path.

As of 1st of June 2026 Dr George Awwad’s contact details will be changing:


Adelaide Orthopaedic Specialists
Phone: 08 8267 8243
Fax: 08 8267 8278
Email: drgeorgeadmin@aos.com.au